El Ayuntamiento de Madrid ha detectado en los últimos días dos casos de tuberculosis en el centro de acogida municipal para personas sin hogar San Isidro, en el distrito de Moncloa-Aravaca, que ya están «controlados y bajo tratamiento».
Fuentes municipales han explicado a Efe que, tras detectar el primer caso, se puso en marcha un estudio de contactos para averiguar si había otros posibles infectados en el entorno del paciente.
Entonces, se localizó otro caso que, al igual que el primero, ya está «controlado y bajo tratamiento» en un hospital, y cuya identidad también se desconoce.
Ahora se ha iniciado un estudio de contactos con esta segunda persona.
Desde el Ayuntamiento han insistido en que «la situación está bajo control» y «no hay riesgo para la población», y han señalado que están en «colaboración permanente con los servicios médicos del albergue».
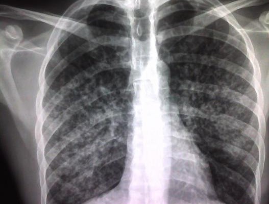
Además, han recordado que Madrid Salud tiene un programa de prevención y control de tuberculosis, una enfermedad contagiosa (se transmite a través del aire) causada por una bacteria y que casi siempre afecta a los pulmones.
Este organismo municipal se encarga de hacer una captación activa de posibles casos de tuberculosis entre los grupos de la población con peor acceso sanitario, para lo que utiliza un vehículo dotado con radiología.
Desde el centro de acogida municipal para personas sin hogar San Isidro han rehusado dar más información sobre estos casos y se han remitido a las declaraciones del Ayuntamiento.
Los casos de tuberculosis en la Comunidad de Madrid presentan una tendencia descendiente en los últimos años.
Según un informe del Servicio Madrileño de Salud, en 2013 se registraron 698 en la región, de los cuales cerca de la mitad (44,6 %) afectaron a personas nacidas fuera de España, fundamentalmente de América del Sur.










































































































































































































































