Categoría: Tecnología
Página de la policía alemana sufrió ataque informático
Ana Mercedes AlcántaraDic 21, 2016
(BKA) fue objeto de un ataque informático este martes y quedó bloqueado durante dos horas y media. La página estaba disponible para que los ciudadanos publicaran...
Crean un dispositivo que indica tasa de alcohol
Ana Mercedes AlcántaraDic 20, 2016
La Universidad portuguesa de Tras-os-Montes, en Vila Real, ha creado un dispositivo para celulares con la aplicación correspondiente que determina en tiempo real la...
Hallaron vínculo de bacterias del intestino con Parkinson
Ana Mercedes AlcántaraDic 09, 2016
¿Qué relación tienen los problemas gastrointestinales con el mal de Parkinson? Según los especialistas, la gran mayoría de los pacientes diagnosticados han sufrido...
Samsung revolucionará la pantalla del Galaxy S8
Antonio Da SilvaDic 09, 2016
Después de la retirada del Samsung Note 7 por los problemas de sus baterías, que acabó con móviles incendiándose y con la prohibición de subir con ellos en un...
La nube de negocios: el futuro de las grandes empresas
Ana Mercedes AlcántaraDic 08, 2016
Level 3 siempre se ha caracterizado por estar a la vanguardia tecnológica. Anualmente realiza foros sobre los avances y necesidades en el ámbito comunicacional...
¿Aterrador o práctico? Blippar, la app que te dice todo sobre ti con tan solo una foto de tu rostro
Ana Mercedes AlcántaraDic 08, 2016
¿Alguna vez te cruzaste por la calle o en un lugar lleno de gente a alguien cuya cara te sonaba, pero eras incapaz de recordar quién era? Ahora existe la tecnología...
La app de pagos MasterPass llega a España de la mano de Caixabank
Antonio Da SilvaNov 29, 2016
Masterpass ya está disponible para todos los clientes de CaixaBank, siendo la primera entidad en adoptar este servicio en nuestro país. Como ya adelantó INNOVADORES...
Panasonic «lo volvió a hacer» con el megáfono traductor
Ana Mercedes AlcántaraNov 22, 2016
La empresa japonesa Panasonic cuenta con un megáfono traductor, que comenzará a ofrecer a partir de diciembre. Pruebas con la novedad tecnológica fueron difundidas...
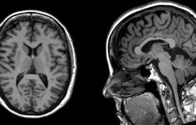
Colombianos crean software que identifica cerebros con alzhéimer
Ana Mercedes AlcántaraNov 17, 2016
El grupo de control y procesamiento digital de señales de la Universidad Nacional, Colombia, desarrolló un software para analizar imágenes de resonancia magnética y...
Samsung compra Harman por 7.700 millones en una apuesta por el coche inteligente
Antonio Da SilvaNov 14, 2016
Samsung ha alcanzado un acuerdo para adquirir el 100% de la estadounidense Harman International Industries, empresa especializada en software y soluciones de...



























SEO DuckCTR Solutions
[…] SEO DuckCTR Solutions -_- SEO DuckCTR Solutions SEO DuckCTR Solutions SEO DuckCT...
tesco cheap viagra
[…] viagra professional sale […]
order generic viagra no presc...
[…] cheap viagra online […]
viagra buy over counter
[…] viagra buy paypal […]